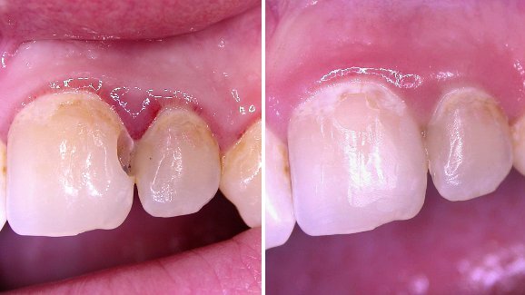
LEIPZIG – Ein nebenwirkungsfreies und nachhaltig erfolgreiches Behandlungskonzept für Parodontitis wird Thema eines vom DT Study Club präsentierten Webinars am 21. Mai sein. In der kostenfreien Fortbildungsveranstaltung erklärt Referent Dr. med. dent. Darius Moghtader die Anwendung am Beispiel eines Patienten.
Die bakterielle Infektion mit parodontalpathogenen Keimen ist ein entscheidender Faktor einer Parodontalerkrankung. Die unterschiedlichen Schweregrade der Infektion erfordern eine der bakteriellen Infektion entsprechende differenzierte Therapie (Flexible Response).
Die lasergestützte Therapie kann wegen fehlender Nebenwirkungen und Resistenzbildungen bei allen Schweregraden der Parodontitis medizinisch sinnvoll und abgestuft von der photothermalen Therapie bis zur hochenergetischen hochgepulsten High Level Laser Therapie mit nachhaltigen Erfolg eingesetzt werden. In Rahmen der Online-Fortbildungsveranstaltung wird am Fallbeispiel gezeigt, wie die Erkrankung gestoppt werden konnte, und dass auch noch nach drei Monaten eine nachhaltige Reduktion der parodontalpathogenen Flora um 99,99 Prozent nachweisbar ist.
Das etwa einstündige Webinar wird am Mittwoch, 21. Mai, ab 17 Uhr im Internet übertragen. Alle Teilnehmer können die Veranstaltung live an ihrem Rechner verfolgen und via Chat Fragen an den Referenten stellen. Einen Fortbildungspunkt erhält, wer im Anschluss einen kurzen Multiple-Choice-Fragebogen zur behandelten Thematik richtig beantwortet. Der Nachweis kann ausgedruckt und bei der zuständigen Zahnärztekammer eingereicht werden.
Die Anmeldung für das Webinar „Flexible Response in der Parodontaltherapie“ ist ab sofort unter www.dtstudyclub.de möglich.
LEIPZIG – Ein effizienter Workflow ist wichtiger Bestandteil eines jeden Behandlungsplans. Er trägt zur Steigerung der Patientenakzeptanz ...
ZÜRICH – Unter dem Titel „Parodontologie – quo vadis?“ präsentierte die 44. Jahrestagung der Schweizerischen ...
LEIPZIG – Wenn Implantologen ihre Praxis ökonomisch weiterentwickeln wollen, brauchen sie ein professionelles Team, klare Strukturen, ...
LEIPZIG - Viele Kinder fürchten den Besuch beim Zahnarzt. Eine schmerzarme und schonende Behandlung mit einem Dentallaser kann den jungen Patienten die...
In diesem kostenfreien Webinar wird die erforderliche Interaktion zahnmedizinischer Professionen und die individualisierte häusliche Mundhygiene für ein ...
LEIPZIG – Die Verknüpfung digitaler Medien macht Behandlungsabläufe nicht nur einfacher, sicherer und standardisierter sondern bietet auch ...
LEIPZIG – Digitale Verfahren sind aus der Zahnmedizin nicht mehr wegzudenken. Mit CS Solutions hat Hersteller Carestream mehr als ein offenes ...
Neuchâtel – 2023 profitierten 47,7% der Arbeitnehmenden von flexiblen Arbeitszeiten und knapp zwei von fünf leisteten zumindest gelegentlich Heimarbeit....
Das kostenfreie Webinar bietet einen Überblick über die wichtigsten Einsatzmöglichkeiten piezoelektrischer Instrumente, von der schonenden Zahnextraktion...
Von der 3D-Planung bis zur Chairside-Produktion – „Digital“ ist heute das Stichwort in vielen Bereichen. Die Zahnheilkunde in der täglichen Praxis ...
Live-Webinar
Di. 19. Mai 2026
17:00 Uhr (CET) Zurich
Live-Webinar
Di. 19. Mai 2026
19:00 Uhr (CET) Zurich
Prof. Dr. med. dent. Ivo Krejci
Live-Webinar
Mi. 20. Mai 2026
13:00 Uhr (CET) Zurich
Dr. Graham Carmichael BDSc (Hons), DClinDent (Pros), FRACDS, Dr. Robert Gottlander DDS
Live-Webinar
Mi. 20. Mai 2026
15:00 Uhr (CET) Zurich
Live-Webinar
Mi. 20. Mai 2026
17:00 Uhr (CET) Zurich
Live-Webinar
Mi. 20. Mai 2026
19:00 Uhr (CET) Zurich
Prof. Dr. med. dent. Tim Joda PhD, MSc, eMBA
Live-Webinar
Do. 21. Mai 2026
18:00 Uhr (CET) Zurich
Dr. Leonardo Muniz DDS, MSC
To post a reply please login or register