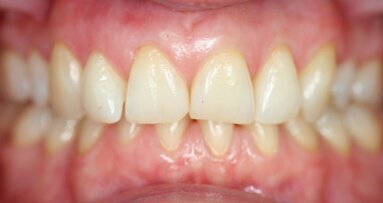
WIENER NEUDORF/LEIPZIG – Die kosmetische Zahnmedizin steht bei den vorstellbaren Schönheitseingriffen an erster Stelle. Eine Befragung von 4.000 Menschen brachte dieses Ergebnis zutage.
Wenn jemand mit seinem Äusseren unzufrieden ist, kosmetische Hilfsmittel oder sportliche Massnahmen jedoch nicht den gewünschten Erfolg erzielen, dann kann sich in manchen Fällen der Schönheitschirurg der Sache annehmen. Was früher eher selten vorkam, ist heute zwar noch nicht Normalität geworden, aber auch nicht mehr ungewöhnlich. Wer allerdings glaubt, eine Brust-OP oder ein Gesichtslifting stünden besonders hoch im Kurs, der irrt. Denn tatsächlich liebäugeln die meisten Menschen mit der kosmetischen Zahnmedizin.
Das Online-Marktforschungsinstituts Marketagent.com mit Sitz im österreichischen Wiener Neudorf fragte 4.000 Österreicher, Schweizer und Deutsche nach ihren Problemzonen und ihrer Einstellung zu Schönheitsoperationen. Dabei stellte sich heraus, dass 56,8 Prozent der Teilnehmer sich am ehesten vorstellen können, sich beispielsweise ihre Zähne aufhellen, sich Verblendschalen aufsetzen oder kosmetische Zahnkorrekturen durchführen zu lassen. Während andere Schönheitsoperationen wie etwa Fettabsaugungen oder Krampfader-Operationen tendenziell eher Frauen anziehen, sind kosmetischen Eingriffen im zahnmedizinischen Bereich beide Geschlechter nicht abgeneigt. So würden 55,7 Prozent der Männer und 57,3 Prozent der Frauen einen solchen Eingriff in Erwägung ziehen.
Zum dritten Mail findet vom 17. bis 19. Juni der Internationale Kongress für Ästhetische Chirurgie und Kosmetische Zahnmedizin in Lindau am ...
LEIPZIG – Am 13. und 14. Mai 2022 findet unter dem Leitthema „Rot-weiße Ästhetik – Optionen und Standards“ die 18. Jahrestagung der DGKZ in ...
Das zweite Bio-Emulation Colloquium, ein Zertifizierungsprogramm, das vor allem auf die Steigerung des Leistungsniveaus in der ästhetischen ...
DÜBENDORF – Die ästhetische Zahnmedizin ist neben den Implantaten der Wachstumssektor der Zahnmedizin weltweit. Immer mehr Menschen ...
BASEL - Der Regierungsrat des Kantons Basel-Stadt und die Uni Basel planen eine räumliche und organisatorische Zusammenführung der ...
Madrid – Implantologische Eingriffe sind nicht nur fachlich fordernd, sondern offenbar auch körperlich spürbar. Eine spanische Pilotstudie hat ...
JENA - Hypnose lindert Schmerzen und fördert die Genesung nach chirurgischen Eingriffen – das ist das Ergebnis einer Meta-Analyse, in der Psychologen die...
BERN - Klein und fein, aber mit grosser Aussenwirkung: Die Klinik für Zahnärztliche Prothetik, eine der sechs Kliniken der ZMK Bern, würde ...
Chicago – Wer schon einmal beim Eisessen zusammengezuckt ist, kennt das Problem: Plötzlicher Schmerz, der tief in den Zahn zieht. Die Ursache liegt im ...
LEIPZIG - In der Live-OP am 6. November zeigt Dr. Stefan Reinhardt das schonende Entfernen des nicht erhaltungswürdigen Zahnes, die korrekte Insertion des ...
Live-Webinar
Do. 14. Mai 2026
18:00 Uhr (CET) Zurich
Live-Webinar
Do. 14. Mai 2026
20:00 Uhr (CET) Zurich
Prof. Hani Ounsi DDS PhD FICD
Live-Webinar
Di. 19. Mai 2026
17:00 Uhr (CET) Zurich
Live-Webinar
Di. 19. Mai 2026
19:00 Uhr (CET) Zurich
Prof. Dr. med. dent. Ivo Krejci
Live-Webinar
Mi. 20. Mai 2026
13:00 Uhr (CET) Zurich
Dr. Graham Carmichael BDSc (Hons), DClinDent (Pros), FRACDS, Dr. Robert Gottlander DDS
Live-Webinar
Mi. 20. Mai 2026
15:00 Uhr (CET) Zurich
Live-Webinar
Mi. 20. Mai 2026
17:00 Uhr (CET) Zurich
To post a reply please login or register