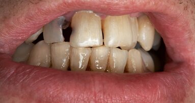
São Paulo – Karies gehört zu den häufigsten chronischen Erkrankungen überhaupt. Ausgelöst wird sie durch Bakterien, die Zucker zu Säuren verstoffwechseln und dadurch den Zahnschmelz entmineralisieren. Fluorid gilt hier seit Jahrzehnten als wichtigster Schutzfaktor, weil es die Remineralisation unterstützt und den Angriff der Säuren abpuffert.
Eine Forschergruppe der Universität São Paulo hat nun im Journal of Dentistry eine Laborstudie vorgelegt, die den Extrakt der echten Kamille, Matricaria chamomilla L., genauer unter die Lupe nimmt.1 Getestet wurde, ob er allein oder in Kombination mit Fluorid Einfluss auf die Entstehung von Karies hat. Als Modell dienten Rinderzähne, die fünf Tage lang mit einem Biofilm aus menschlicher Speichelflora bedeckt waren. Ab dem zweiten Tag wurden die Proben jeweils einmal täglich für eine Minute behandelt. Verglichen wurden fünf Gruppen: Fluorid, Kamillenextrakt, Kamille plus Fluorid, das Referenzpräparat Chlorhexidin sowie eine Kontrollgruppe mit Pufferlösung.
Kamille kombiniert mit Fluorid reduzierte die Zahl der Bakterien Streptococcus mutans und Lactobacillus spp. signifikant stärker als die Einzelanwendungen. Auch der Mineralverlust im Schmelz war in dieser Gruppe am geringsten. Fluorid allein schnitt besser ab als Kamille allein, erreichte aber nicht die Werte der Kombination. Die Tiefe der Läsionen ließ sich durch keine der Anwendungen verringern. Auffällig war zudem, dass nur bei Fluorid, bei Kamille plus Fluorid und bei Chlorhexidin eine oberflächliche Schutzschicht entstand, die in der Kombinationsgruppe am ausgeprägtesten war. Die Autorinnen und Autoren ziehen daraus das Fazit, dass die Verbindung aus Kamillenextrakt und Fluorid sowohl die Bakterienlast senkt als auch den Zahnschmelz schützt.
1 Luiz Henrique Dias Pollo, Carolina Ruis Ferrari, Monique Malta Francese, Camila Medola Conquista, Aline Silva Braga, Ana Caroline Magalhães, Anti-caries potential of Matricaria chamomilla L. extract combined or not with fluoride on bovine teeth under microcosm biofilm model, Journal of Dentistry, Volume 162, 2025, https://doi.org/10.1016/j.jdent.2025.106063
Schlagwörter:
ALEXANDRIA/USA – Geschmacksgene beeinflussen das Vorkommen von Karies, wie Forscher/-innen aus USA herausfanden.
Dr. Lenka Banasova betreibt in der slowakischen Hauptstadt Bratislava ihr eigenes Dentalzentrum namens Pearl Dental, wo ein leidenschaftliches Team aus ...
BIRMINGHAM, USA – Amerikanischen Forschern ist es gelungen, ein Molekül zu synthetisieren, das Kariesbakterien daran hindert, hartnäckige Plaque zu ...
BELFAST, Nordirland – Aspirin soll in Zukunft auch als Therapeutikum bei Karies einsetzbar sein. Das ist das Ergebnis einer Studie von Wissenschaftlern ...
LONDON – Karies heilt niemals selbst, sobald ein Loch entstanden ist. Wird die Oberfläche der Zahnhartsubstanz durchbrochen, muss die ...
Brasilien – Wenn Bakterien den Weg bis zur Wurzelspitze finden, kommt es oft zu einer chronischen Entzündung. Apikale Parodontitis zählt zu den ...
China – Karies zählt weltweit zu den häufigsten chronischen Erkrankungen und ihre Ursachen werden zunehmend vielschichtiger verstanden. Eine aktuelle ...
KASSEL - Zähneputzen gehört zur täglichen Routine, doch der eigentliche Zahnputzvorgang ist wissenschaftlich weitgehend unverstanden. Geeignete ...
BOSTON, USA – Wissenschaftler der Harvard T.H. Chan School of Public Health und der Icahn School of Medicine at Mount Sinai fanden in einer Studie ...
BERN – Forschende der Universität Bern haben bei Mitarbeitenden der Kantonspolizei Bern über ein Jahr lang die Antikörperspiegel gegen Sars-CoV-2 und ...
Live-Webinar
Di. 12. Mai 2026
19:00 Uhr (CET) Zurich
Live-Webinar
Do. 14. Mai 2026
18:00 Uhr (CET) Zurich
Live-Webinar
Do. 14. Mai 2026
20:00 Uhr (CET) Zurich
Prof. Hani Ounsi DDS PhD FICD
Live-Webinar
Di. 19. Mai 2026
17:00 Uhr (CET) Zurich
Live-Webinar
Di. 19. Mai 2026
19:00 Uhr (CET) Zurich
Prof. Dr. med. dent. Ivo Krejci
Live-Webinar
Mi. 20. Mai 2026
13:00 Uhr (CET) Zurich
Dr. Graham Carmichael BDSc (Hons), DClinDent (Pros), FRACDS, Dr. Robert Gottlander DDS
Live-Webinar
Mi. 20. Mai 2026
15:00 Uhr (CET) Zurich
To post a reply please login or register