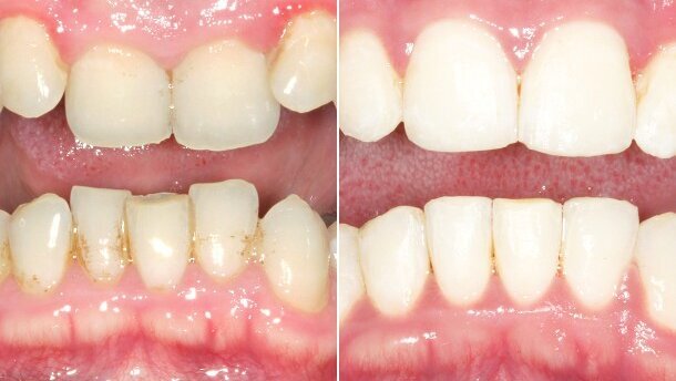
LEIPZIG – Wer seinen Patienten ein Traumlächeln schenken möchte, kann das auch ohne kieferorthopädische Vorkenntnisse – und das in Rekordzeit. Wie eine Zahnkorrektur in durchschnittlich sechs Monaten erfolgen kann, wird in einem von DT Study Club präsentierten Webinar am 2. April demonstriert.
In der Online-Fortbildungsveranstaltung, die kostenfrei an jedem beliebigen Rechner verfolgt werden kann, stellt Referent Dr. Jan Einfeldt das Konzept Six Month Smiles vor. Der Zahnarzt, der u.a. Mitglied der British Academy of Cosmetic Dentistry ist und sich besonders für minimalinvasive ästhetische sowie kurzzeitige Kieferorthopädie interessiert, wird genau erklären, wie eine Zahnkorrektur in so kurzer Zeit erreicht werden kann.
Weiterhin wird er einen typischer Behandlungsablauf aufzeigen und erläutern, was das Besondere an den Brackets und Bögen von Six Month Smiles ist und worin der Unterschied von Six Month Smiles und einer Behandlung mit Alignern liegt.
embedImagecenter("Imagecenter_1_1118",1118, "large");
Das etwa einstündige Webinar wird am Mittwoch, 2. April, ab 17 Uhr live im Internet übertragen und kann an jedem beliebigen Rechner verfolgt werden. Fragen an den Referenten können per Chat gestellt werden. Für die Teilnahme an der Weiterbildung winkt bei Beantwortung eines Online-Fragebogens im Anschluss an den Vortrag ein Fortbildungspunkt.
Die Registrierung für das Webinar ist ab sofort auf www.dtstudyclub.de möglich.
LEIPZIG – Um eine revolutionäre Kombination aus geprüfter kieferorthopädischer Technik und modernsten Materialien geht es in einem vom ...
LEIPZIG – Um eine revolutionäre Kombination aus geprüfter kieferorthopädischer Technik und modernsten Materialien geht es in einem vom ...
LEIPZIG – Gerade Zähne in nur sechs Monaten? Was sich erst einmal nicht machbar anhört, ist dank einer neuen Behandlungsmethode möglich...
LEIPZIG – Gerade Zähne in nur sechs Monaten? Was sich erst einmal nicht machbar anhört, ist dank einer neuen Behandlungsmethode möglich...
Leipzig – Die Alignertherapie hat sich zu einem festen Bestandteil der modernen, digitalen Zahnmedizin entwickelt und erweitert das Behandlungsspektrum ...
Invisalign Go ist ein vereinfachter Ansatz zur ästhetischen Zahnbegradigung, der es Zahnärzten ermöglicht, mit Vertrauen und Zuversicht die ...
LEIPZIG – Mit dem Einzug der digitalen Dentalfotografie in Labor und Praxis wurde die Kommunikation des interdisziplinären Teams deutlich ...
LEIPZIG – Zahnaufhellung boomt. Mit Inkrafttreten der neuen Kosmetikverordnung ist sie auch offiziell eine Leistung, die in den Händen der ...
BASEL – Als einer der weltweit führenden Anbieter von Zahnimplantaten, Instrumenten, CAD-CAM-Prothetik und Biomaterialien legt die Straumann Gruppe ...
BERLIN – Um modernes Wundmanagement und den Einsatz körpereigener Wachstumsfaktoren im zahnärztlichen Alltag geht es in einer von der botiss...
Live-Webinar
Do. 14. Mai 2026
18:00 Uhr (CET) Zurich
Live-Webinar
Do. 14. Mai 2026
20:00 Uhr (CET) Zurich
Prof. Hani Ounsi DDS PhD FICD
Live-Webinar
Di. 19. Mai 2026
17:00 Uhr (CET) Zurich
Live-Webinar
Di. 19. Mai 2026
19:00 Uhr (CET) Zurich
Prof. Dr. med. dent. Ivo Krejci
Live-Webinar
Mi. 20. Mai 2026
13:00 Uhr (CET) Zurich
Dr. Graham Carmichael BDSc (Hons), DClinDent (Pros), FRACDS, Dr. Robert Gottlander DDS
Live-Webinar
Mi. 20. Mai 2026
15:00 Uhr (CET) Zurich
Live-Webinar
Mi. 20. Mai 2026
17:00 Uhr (CET) Zurich
To post a reply please login or register