LEIPZIG – Ein Webinar mit Referent Prof. Dr. Dr. Bilal Al-Nawas, Leitender Oberarzt der Mainzer Klinik für Mund-, Kiefer- und Gesichtschirurgie, plastische Operationen, präsentiert der Dental Tribune Study Club (DTSC) am 4. Juli 2012. Die interaktive Fortbildung mit dem Titel „Die Bedeutung der vertikalen Implantatposition“ kann kostenfrei am Computer verfolgt werden.
Der einstündige Vortrag beleuchtet dabei das „Mysterium“ der vertikalen Implantatpositionierung und beschreibt klar nachvollziehbare Argumente, die der Anwender für sein System und die klinische Situation adaptieren kann.
Die Übertragung beginnt um 18 Uhr. Alternativ kann die aufgezeichnete Veranstaltung nachträglich im Archiv des DTSC angesehen werden.
Vortragsinhalte
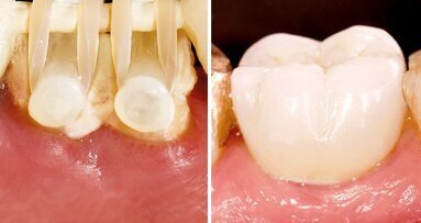
Nachdem die Osseointegration von Implantaten heute gut kalkulierbar ist und auch in kritischen, kompromittierten Situationen gelingt, wendet sich die Aufmerksamkeit nun der Langzeitstabilität des Weichgewebes zu. Das Wechselspiel zwischen marginaler Knochenreaktion und Weichgewebsposition stellt den Schlüssel zur Langzeitstabilität dar. Im anterioren Bereich wird die vertikale Position durch die spätere Position der Mukosa, also aus ästhetischen Gründen bestimmt. Dabei bieten Systeme mit stabiler Ankopplung und Platform Shift mittlerweile überzeugende Daten, sodass ein deutlich geringeres Remodeling auftritt, als die biologische Breite erwarten liesse. Unabhängig davon folgt die vertikale Positionierung im Seitenzahngebiet auch den Gegebenheiten der Höhe und des Platzangebotes der späteren Versorgung.
Anmeldung
Die kostenlose Registrierung für die Teilnahme am Webinar ist ab sofort hier möglich.
LEIPZIG - Viele Kinder fürchten den Besuch beim Zahnarzt. Eine schmerzarme und schonende Behandlung mit einem Dentallaser kann den jungen Patienten die...
LEIPZIG – Der Dental Tribune Study Club bietet am Mittwoch, 18. Juli, ein Webinar mit dem Titel „Neue Techniken der ...
LEIPZIG – Die Verknüpfung digitaler Medien macht Behandlungsabläufe nicht nur einfacher, sicherer und standardisierter sondern bietet auch ...
LEIPZIG – Mit einem Webinar am 10. Oktober richtet sich der Dental Tribune Study Club (DT Study Club) dieses Mal besonders an Endodontologen. In ...
KÖLN - Beim Henry Schein Pressegespräch im Rahmen der Internationalen Dentalschau IDS im Kristallsaal der Koelnmesse wurde die Zukunft der ...
LEIPZIG – In einem vom DT Study Club präsentierten Webinar stellt Dr. Stefan Neumeyer, Zahnarzt und Implantologe aus Eschlkam, am 24. April die ...
BERN - Der langjährige Direktor der Klinik für Kieferorthopädie an der Universität Genf, Prof. Dr. Stavros Kiliaridis, ist per 1. August 2020 zum ...
LEIPZIG – Die Nahinfrarot-Transillumination ist am 13. Mai Thema eines Webinars, das der DT Study Club anbietet. Im Rahmen der kostenfreien ...
SALVADOR DA BAHIA – Das Unternehmen GlaxoSmithKline (GSK) hielt auf dem Jahresweltkongress der World Dental Federation (FDI) in Salvador da Bahia, ...
INTERLAKEN - Mitte Juni trafen sich die Schweizer Zahnärzte zum Jahreskongress in Interlaken.
Live-Webinar
Mi. 22. April 2026
14:00 Uhr (CET) Zurich
Live-Webinar
Mi. 22. April 2026
17:00 Uhr (CET) Zurich
MDT Andreas Chatzimpatzakis
Live-Webinar
Mi. 22. April 2026
17:00 Uhr (CET) Zurich
Live-Webinar
Mi. 22. April 2026
18:00 Uhr (CET) Zurich
Live-Webinar
Do. 23. April 2026
16:00 Uhr (CET) Zurich
Live-Webinar
Do. 23. April 2026
17:00 Uhr (CET) Zurich
Live-Webinar
Do. 23. April 2026
18:30 Uhr (CET) Zurich
To post a reply please login or register