BAD HOMBURG – Zum Auftakt der diesjährigen Internationalen Dental-Schau (IDS) in Köln stellte als einer der ersten Global Player das Unternehmen GC seine Produktneuheiten sowie seine strategische Ausrichtung zum 100-jährigen Firmenjubiläum im Jahr 2021 vor.
Die Key Words Innovation und Veränderung zogen sich dabei wie ein roter Faden durch die Pressekonferenz, die per Live-Streaming via Facebook übertragen wurde.
Nach der Begrüßung durch Frank Rosenbaum, Geschäftsführer GC Germany, und Gloria de la Torre, General Manager Human Resources, GC Europe, ergriff Dr. Kiyotaka Nakao, Präsident und CEO der GC Corporation, das Wort und stellte die globale orale Mundgesundheitsagenda des japanischen Traditionsunternehmens vor. Dabei betonte er die Bedeutung der Mundgesundheit als grundlegendes Menschenrecht. Die Rolle des Zahnarztes sei es, der Bevölkerung und den Entscheidungsträgern zu helfen, allgemeine Gesundheit durch gute Mundgesundheit zu erreichen. Den Weg dahin unterstützt GC mit seinen qualitativ hochwertigen Produkten.
Einen besonderen Fokus setzte er auf die alternde Gesellschaft. Japan, Heimat des Hauptsitzes des GC Corporation, ist das am schnellsten alternde Land der Welt und verzeichnet laut einer Statistik der japanischen Zahnärztevereinigung bei den 80-Jährigen immer noch 20 oder mehr eigene Zähne, die entscheidend zur Lebensqualität beitragen. Damit das Essen mit zunehmendem Alter dennoch Freude bereitet, setzt sich GC unter dem Credo „Das Alter ist weit mehr als nur eine Zahl“ für den notwendigen Wandel in der Zahnheilkunde sowie der Infrastruktur des Gesundheitswesens ein und arbeitet dabei eng mit Ernährungswissenschaftlern, Lebensmittelherstellern und Konditoren zusammen. Mit Blick auf das bevorstehende 100-jährige Jubiläum von GC im Jahr 2021, möchte das japanische Unternehmen bis dahin weltweit führend für Mundgesundheitsprodukte werden und der Welt ein Lächeln schenken – getreu dem Motto „Smile for the World“.
Im Anschluss betrat Makiko Nakao in ihrer Eigenschaft als Präsidentin des Verwaltungsrates der “Foundation Nakao for Worldwide Oral Health” das Podium. Die Ehefrau von Makoto Nakao, der nach 42 Jahren an der Spitze der GC Corporation seinen Vorsitz im Vorstand mit seinem 70. Geburtstag abtrat, war sichtlich stolz, die fünf Schlüsselthemen der im September 2018 gegründeten Stiftung vorzustellen: alternde Gesellschaft, Minimum Intervention Dentistry, Funktion vor Aussehen, orale Gebrechlichkeit und Echte Gesundheit. Zu jedem dieser Themen versprach Makiko Nakao wissenschaftliche Forschung und klinische Studien, deren Ergebnisse der Zahnarztgemeinde und letztlich den Patienten zugutekommen sollen.
Georg Haux, Geschäftsführer GC Germany, widmete sich im Anschluss der Unternehmensstrategie und ging darauf ein, dass der Dentalmarkt noch nie solch dynamischen Wandlungen unterworfen war wie heute. Gerade deshalb betonte er das Nutzen- und Mehrwertversprechen von GC, das auf drei Säulen basiert: die kontinuierliche Entwicklung neuer Produkte, die interne und externe Forschung und Wissenschaft sowie ganzheitliche Lösungen und Konzepte auf Basis qualitative hochwertiger Produkte. Hierbei bilden stets Effizienz, Prozessoptimierung und somit Wirtschaftlichkeit den Kern des Lösungsversprechens von GC.
Josef Richter, COO und Präsident von GC Europe, stellte danach zehn der zahlreichen Produktneuheiten und Services von GC zur IDS 2019 vor, deren Fokus durchweg der echte Mehrwert für den Anwender in seiner täglichen Arbeit bildet.
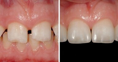
Als bahnbrechende Neuheit präsentiert GC sein vielseitiges und anwenderfreundliches Composite G-ænial® Universal Injectable, das Anwendern einfachere Restaurationsmöglichkeiten bietet, ohne Kompromisse bei Haltbarkeit oder Ästhetik eingehen zu müssen. Es kann für alle Kavitätenklassen verwendet werden, da es stabil genug für Restaurationen im Seitenzahnbereich ist (ohne Abdecken!) und eine optimale Ästhetik für den Frontzahnbereich aufweist.
Dank der 30-jährigen Erfahrung in der Glasionomer-Technologie konnte GC ständig mit Innovationen in diesem Gebiet aufwarten. Mit FujiCEM Evolve präsentiert das Unternehmen einen optimierten, kunststoffverstärkten Glasionomer, der im Bereich der Standardprothetik durch Anwenderfreundlichkeit und hervorragende Leistungseigenschaften überzeugt.
Außerdem setzt die GC Corporation seine Pionierarbeit in Sachen Digitalisierung fort und präsentiert auf der IDS 2019 die nächste Generation von Modellscannern für das Dentallabor. Das Gerät Aadva Lab Scanner 2 kombiniert dabei einzigartige Scan-Funktionen mit ausgereifter und robuster Hardware, die die Anzahl der Scans reduzieren und damit die Produktivität der Dentallabore steigern kann.
Am Messestand in Halle 11.2, Stand N 010 – O 019 erleben die Besucher diese und weitere Neuheiten und Services aus dem Hause GC: Von der MIH-Behandlung bis zur Restaurationstherapie mit Glas-Hybrid und Compositen, vom Initial Allround-Keramik-System bis hin zum CAD/CAM-Konzept.
Schlagwörter:
BERN - Nach über einem Jahrzehnt organisieren der SSRD und der ASMO wieder einen gemeinsamen Kongress. Mit dem Kongressthema Abrasion/Erosion hoffen ...
BAD HOMBURG VOR DER HÖHE – Aktuell wird davon ausgegangen, dass jedes siebte Kind in Deutschland von einer Molaren-Inzisiven-Hypomineralisation (MIH) ...
ZÜRICH - Im Gesundheitswesen ist gut dokumentiert, was alles «beinahe» schief gegangen ist, aber nichts darüber, was wirklich zu ernsten Folgen geführt...
PFORZHEIM – Auf der ersten IDS-Pressekonferenz nach dem Zusammenschluss mit dem Liechtensteiner Dentalunternehmen Ivoclar Vivadent hat Wieland Dental ...
Bern – In der Schweiz haben letztes Jahr 41’100 (35’488 Vollzeitäquivalente) Ärztinnen und Ärzte gearbeitet. Das sind 800 Vollzeitäquivalente oder...
LEIPZIG – Die Verbesserung der Mundgesundheit der gesamten Bevölkerung sowie deren wachsende Besorgnis um die Zahnästhetik hat die direkte ...
WEIMAR - Wenn ein Patient ein Huhn kaufen will, dann hat er sich nicht etwa in der Tür geirrt. Bei Zahnarzt Dr. Gerd Hase geht es im Dezember nicht nur um ...
KÖLN - Bereits zur festen Tradition geworden, gehörte die erste Stunde der nunmehr 34. Internationalen Dental-Schau der Pressekonferenz von ...
SCHAAN – Seit mehr als 40 Jahren präsentiert Ivoclar Vivadent mit der Programat-Serie kontinuierliche Innovationen im Bereich der Dentalöfen. Nun wird ...
BERLIN – Forderung nach einheitlicher Berufsaufsicht
Live-Webinar
Do. 14. Mai 2026
18:00 Uhr (CET) Zurich
Live-Webinar
Do. 14. Mai 2026
20:00 Uhr (CET) Zurich
Prof. Hani Ounsi DDS PhD FICD
Live-Webinar
Di. 19. Mai 2026
17:00 Uhr (CET) Zurich
Live-Webinar
Di. 19. Mai 2026
19:00 Uhr (CET) Zurich
Prof. Dr. med. dent. Ivo Krejci
Live-Webinar
Mi. 20. Mai 2026
13:00 Uhr (CET) Zurich
Dr. Graham Carmichael BDSc (Hons), DClinDent (Pros), FRACDS, Dr. Robert Gottlander DDS
Live-Webinar
Mi. 20. Mai 2026
15:00 Uhr (CET) Zurich
Live-Webinar
Mi. 20. Mai 2026
17:00 Uhr (CET) Zurich