Search Dental Tribune

Artikel

Filter

Oberrheinischer Zahnärztetag erfolgreich in Freiburg

FREIBURG – Vertreter der zahnmedizinischen Institute der Universitäten Basel, Strasbourg und Freiburg im Breisgau trafen sich am 15. ...

Speichern

Ecopop setzt medizinische Versorgung aufs Spiel

BERN – Die FMH, die GDK und H+ lehnen die Ecopop-Initiative ab, weil sie den bereits bestehenden Fachkräftemangel verstärkt und dem ...

Speichern

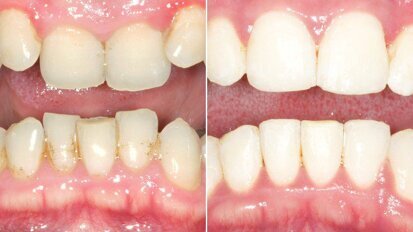
Zielgerichtete Planung für implantologischen und prothetischen Erfolg

LEIPZIG – Eine strukturierte Arbeitsweise – mit etwas mehr Planungsaufwand im Vorfeld – erlaubt es, während der implantologischen und...

Speichern

„Aktion Mundgesundheit Schweiz“ gestartet

ZÜRICH – Mundhygiene schützt die Gesundheit: Das Risiko für Herz-Kreislauf-Erkrankungen, Diabetes, Lungenentzündungen, und ...

Speichern

Studie zu Frakturen durch Aufbereitung der Zahnwurzel

BERLIN – Die zwei Forscher Dr. Paul Zaslansky vom Berlin-Brandenburger Centrum für Regenerative Therapien, Charité Berlin, und ...

Speichern

Olten erwartet Schulzahnpflege-Instruktorinnen zur Jahrestagung

OLTEN – Die Stiftung für Schulzahnpflege-Instruktorinnen (SZPI) lädt ihre Mitglieder am 4. November 2014 zur 3. Jahrestagung in das ...

Speichern
advertisement

Wer wird die Nummer eins der Basler Patienten?

BASEL – Die Schweiz ist allgemein, was das Verhältnis von Ärzten je Einwohner betriffft, zahnärztlich sehr gut versorgt. In ...

Speichern

Mitglieder der SSE treffen sich in Luzern

LUZERN – Einer der ersten Termine für 2015 sollte schon in den neuen Kalender vermerkt werden: Am 23. und 24. Januar des nächsten ...

Speichern

Lichtpolymerisation – Hauptsache oder Nebensache?

LEIPZIG – Obwohl das Polymerisieren mit Licht ein alltäglicher, häufiger Arbeitsgang in jeder zahnärztlichen Praxis ist, wird ihm oft ...

Speichern

Lippenscheibe schafft Eintrag ins Guinness-Buch

ADDIS ABEBA – Ataye Eligidagne ziert die grösste Lippenplatte der Welt. Die 20-jährige Äthiopierin wurde zufällig von einer ...

Speichern

In nur sechs Monaten: Mit Six Month Smile zum perfekten Lächeln

LEIPZIG – Gerade Zähne in nur sechs Monaten? Was sich erst einmal nicht machbar anhört, ist dank einer neuen Behandlungsmethode möglich...

Speichern

Die Dritten vor dem Schlafengehen immer rausnehmen

TOKIO, JAPAN – Wer seine Dritten vernachlässigt, riskiert eine lebensbedrohliche Lungenentzündung. Wissenschaftler der Nihon ...

Speichern
advertisement

Schweizer Dentalhygienikerinnen treffen sich in Basel

BASEL – Save the date! Am 14. und 15. November 2014 werden wieder mehr als 1’000 Teilnehmer zum diesjährigen Jahreskongress von Swiss ...

Speichern

Zahnpasta verfälscht Geschmack von Fruchtsaft

LEIPZIG – Fruchtsäfte nach dem Zähneputzen zu trinken wird zwar allgemein nicht empfohlen, doch hat es fast jeder bereits gemacht und ...

Speichern

Hygieneschulung für den Praxisalltag

ZÜRICH – Am 5. September 2014 trafen sich 40 Dentalassistentinnen sowie Dentalhygienikerinnen und Prophylaxeassistentinnen zum Kurs ...

Speichern

Webinar beleuchtet neue Möglichkeiten in der Prothetik

LEIPZIG – Digitale Verfahren sind aus der Zahnmedizin nicht mehr wegzudenken. Mit CS Solutions hat Hersteller Carestream mehr als ein offenes ...

Speichern
advertisement

Neue Form der Medikation vorgestellt

CAMBRIDGE, USA – Eine Neuentwicklung von Wissenschaftlern des Massachusetts Institute for Technology (MIT) könnte manchen Menschen helfen, ...

Speichern

Zahngold für Augenlicht

BERN – Die Schweizerische Zahnärzte-Gesellschaft (SSO) und das Schweizerische Rote Kreuz (SRK) sammeln gemeinsam Zahngold und Schmuck ...

Speichern

Swiss Dental Hygienists treffen sich in Basel

BASEL – Am 14. und 15. November 2014 werden mehr als 1’000 Teilnehmer zum diesjährigen Jahreskongress der Swiss Dental Hygienists rund...

Speichern

Interaktion verschiedener Pathogene verantwortlich für Kariesbildung

BRAUNSCHWEIG – Streptococcus mutans gilt als wichtigster Verursacher von Karies. Jedoch scheint das Bakterium keinesfalls alleine für die ...

Speichern
advertisement

Neue Zahnklinik in Sion geplant

LAUSANNE – Die Lausanne Dental Implant Clinic zählt europaweit zu den grössten und modernsten privaten Zentren für allgemeine ...

Speichern

Wir können Bleaching! – Webinar des DT Study Clubs

LEIPZIG - Die professionelle Zahnaufhellung in der Zahnarztpraxis ist schonend und funktioniert – und der Bedarf ist da: Das zeigen die mehr oder...

Speichern
advertisement

Zürich verbessert sich im Uni-Ranking

ZÜRICH – Im diesjährigen „QS World University Rankings“ macht die Universität Zürich einen grossen Sprung nach ...

Speichern

Arbeit zur Parodontaltherapie ausgezeichnet

ZÜRICH – Unter dem Titel „Parodontologie – quo vadis?“ präsentierte die 44. Jahrestagung der Schweizerischen ...

Speichern

Der Entstehung von Ameloblastomen auf der Spur

HELSINKI, FINNLAND – Was zahnschmelzbildende Zellen dazu anregt, Tumore, sogenannte Ameloblastome, auszubilden, ist bisher unbekannt. Finnische ...

Speichern

Schweizer Implantatmarkt im Umbruch?

ZÜRICH – Im Pionierland der dentalen Implantate scheint sich eine neue Tendenz abzuzeichnen: Es werden weniger Implantate gesetzt als noch ...

Speichern
advertisement

Kompetenzzentrum für bildgebende Verfahren in der Biomedizin eröffnet

ZÜRICH – Mit dem Zentrum EXCITE bündeln ETH Zürich und Universität Zürich ihre Expertise im Bereich bildgebender ...

Speichern

Digitale Fertigungsverfahren im Fokus der IDS 2015

KÖLN – Die Nutzung dentaler digitaler Verfahren gehört heute mit großer Selbstverständlichkeit zum Alltag zahntechnischer ...

Speichern

Implantologen treffen sich in Konstanz

KONSTANZ – Bereits zum 9. Mal findet am Wochenende 10./11. Oktober 2014 unter der wissenschaftlichen Leitung des Konstanzer MGK-Chirurgen Prof. Dr. ...

Speichern

Webinar: Fehlervermeidung bei der Anwendung von Adhäsivsystemen

LEIPZIG – Fehlerquellen in der Adhäsivtechnik erkennen und somit falsches Handeln vermeiden – wie das gelingt, erfahren interessierte ...

Speichern
advertisement
advertisement